セレック治療

セレック治療は高品質なセラミック治療を低価格で行うことができる最新の歯科治療です。
あなたもセレックで白い歯にしませんか?
セラミックの被せ物は白くてきれいけど費用が高いから・・・ と思われていたあなた
そうなんです 今までは高かったんです。
でもセレックならそんなことはありません。
なぜ低価格のセラミック治療が可能になったのでしょうか?
セレックの特徴 その1
それは、コンピューター制御によってセラミックの修復物を設計、製造するからです。
つまり今までなら歯科技工士さんが行っていたステップを機械がやってくれるようになったわけです。
セラミックの修復物が高かったのは、技工士さんの技術料や材料費が高いためで、セレック治療ならその分のコストをカットできるため安くなったのです。
| セレック価格(税込) | 当院従来価格(税抜) | |
|---|---|---|
| セラミッククラウン前歯 | 7万円 | 12万円 |
| セラミッククラウン臼歯 | 5万5千円 | 10万円 |
| セラミックインレー | 4万円 | 7万円 |
その他 E.maxやジルコニアなど、他のセラミック素材にも対応しております。
セレック治療は他にも優れた特徴がいっぱい
それをご紹介します
セレックの特徴 その2
最短1日で治療が完了します
従来の方法は歯型を取った後、技工士さんが技工所で被せ物を作成する期間が必要でした。
ですから修復物が入るまで1週間ほどかかるのが普通でした。
セレックは歯型をとる代わりに歯の撮影を行い、3Dデータをコンピュータに取り込んでからものの20〜30分でセラミックの修復物が完成します。
早い方は虫歯を削ってから1時間半で治療完了です。
忙しくてなかなか通院できない方にはオススメです!
型取りからかぶせの装着まで1日で行う 『セレック ONE DAY トリートメント』をご希望の方は上記の料金に1万円プラスとなります。

セレックの特徴 その3
虫歯が非常に再発しにくい治療法です
「せっかく治したのにまた虫歯になってる!」
「治療が終わってそんなに経ってないのに取れてきてしまった」
という経験はありませんか?
これらは修復物の適合が悪いのとセメント(接着剤)の劣化からくる保険材料の性質上の問題です。
治療後10年以上経った保険の修復物を外すと中はこうなっています↓
「治療したのに全然治ってないやん!」という声が聞こえてきそうです。
しかし!
セレックで製造した被せ物は非常に適合がよく、かつ正確にフィットしますので、細菌や汚れが入り込む隙間がほとんどありません。
それともう一つ! セレックでは使用するセメントが高品質です
歯と被せ物を一体化させるほど強度に接着します。
ですから保険のセメントのように劣化して流れ出すということはありません。
セレックはドイツで開発されて30年の歴史がありますが、データによると
セレック治療を行った歯は20年後の虫歯再発率が5%以下です!
セレックの特徴 その4

材質が劣化せず美しさが長期保たれます
保険材料のレジン(プラスティック)のような摩耗や着色、変色がありません。
金属修復材料のように劣化して表面がザラザラになりプラークが付きやすくなるということもありません。
従来のセラミック修復物は、技工士の手作業でセラミックの材料を盛り上げて作っていたので中に空気が入ったり目に見えない小さなヒビが入ってしまい、その為に強度が出ません。
セレックで使用するセラミックは工場で規格生産していますので、気泡や異物が混入することもなく、常に品質が安定しています。
セレックの特徴 その5

セラミックは身体に安全な材料です
セラミックは天然歯に最も近い素材です。
天然歯とほぼ同じ強度のため噛み心地、すり減りなどがとても自然です。
飲食物による温度刺激や化学刺激、細菌による刺激などの過酷な環境下でも劣化することなく、長期にわたって安全性が保たれます。
金属アレルギーがある方にも安心の材料です。
当院治療例
セラミックインレー治療
料金 40,000円
-
- 治療前

-
- 治療後

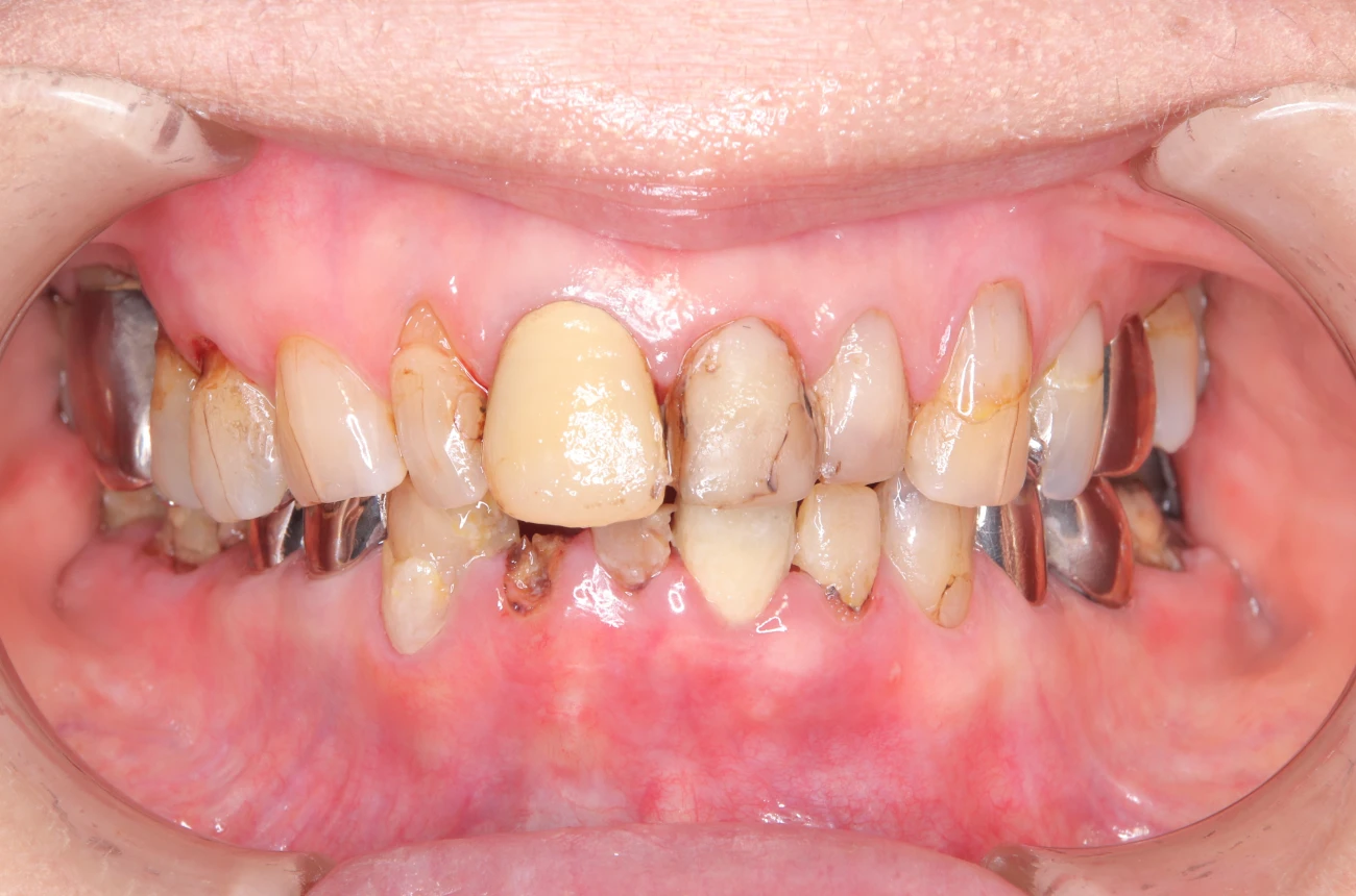
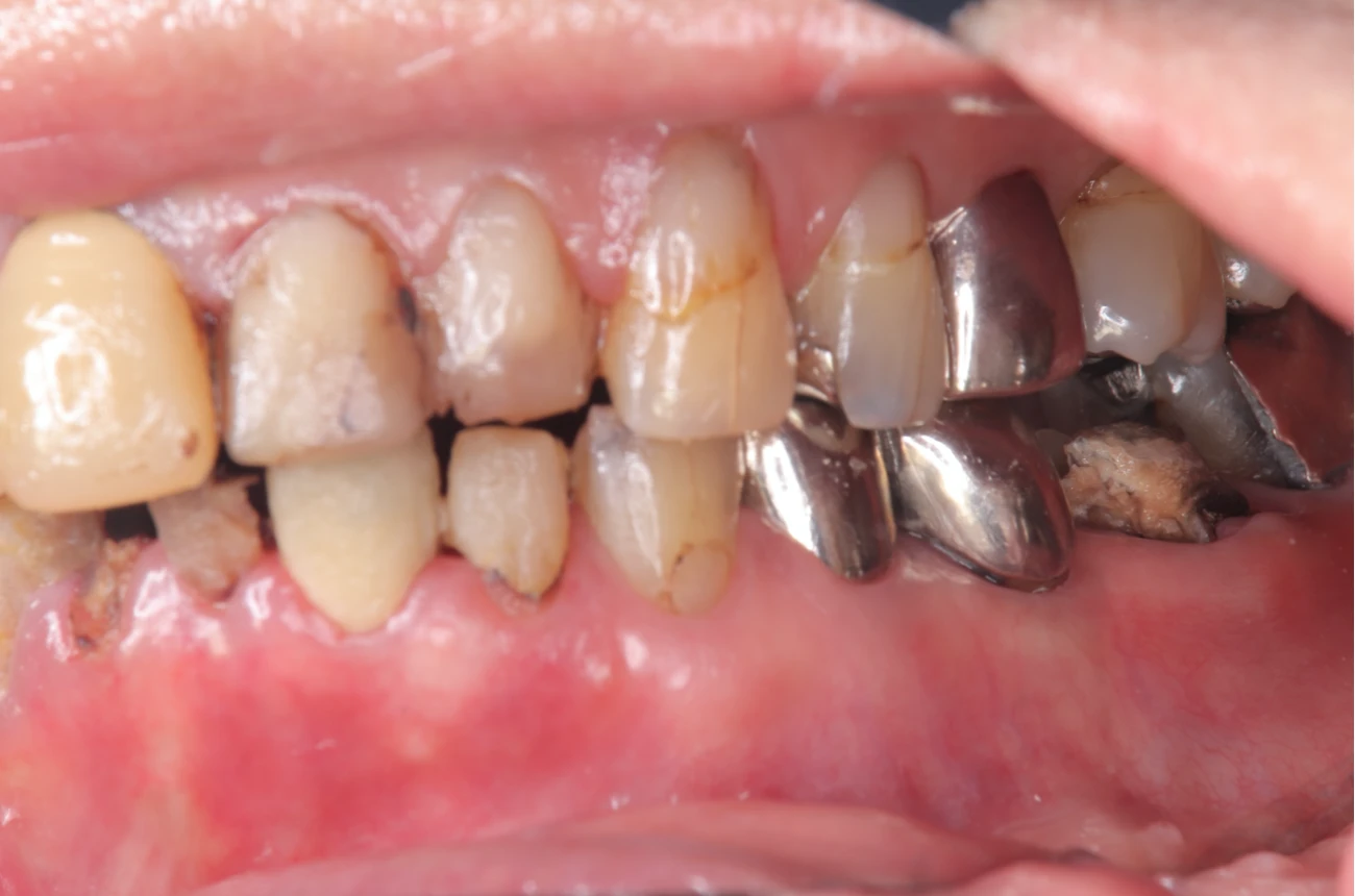
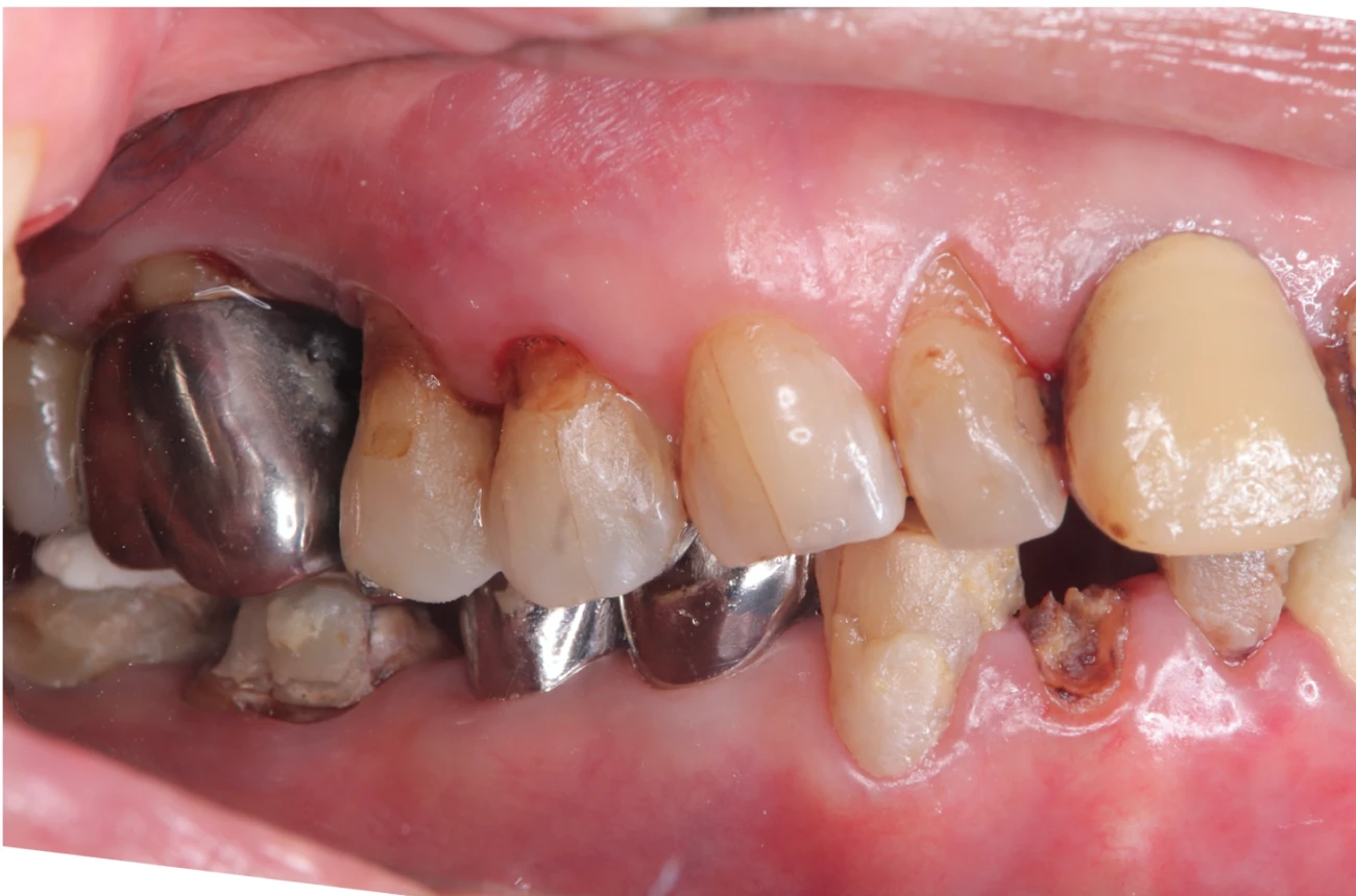
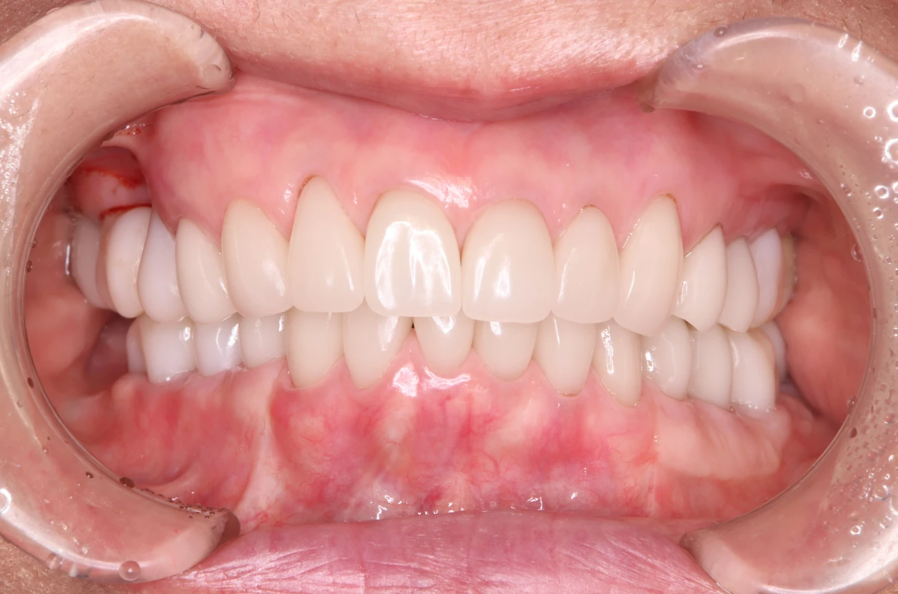
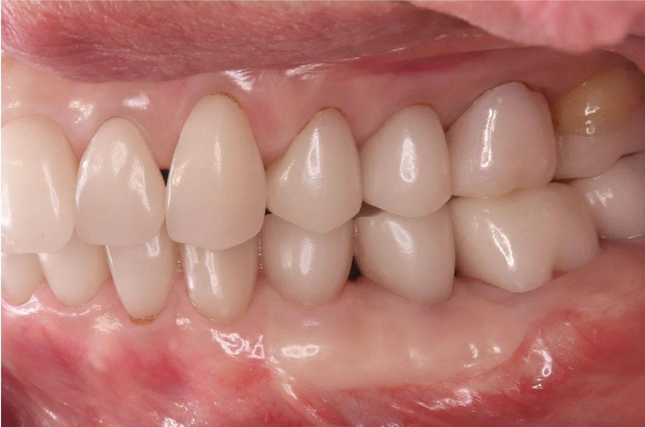
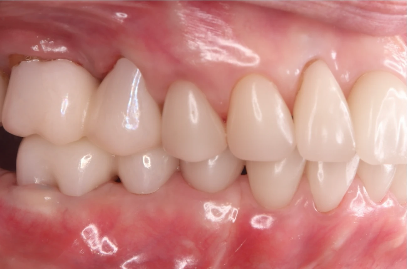
全顎 セラミッククラウン治療
料金 1,920,000円
(従来法の場合 3,160,000円)
-
- 治療前
-
-
- 治療後
-
副作用とリスク
- 神経を残して治療した場合、しばらく歯がしみることがあります。
(短い方は2、3日、長い方は3ヶ月ほど) - 上記のしみがひどくなると稀に神経を取らなければいけないことがあります。
- セラミックの破折防止のために、対合歯(噛み合う相手の歯)を削ることがあります。
美しさ、耐久性、安全性、費用 全ての面で優れた治療法です
是非お試しください
















